主動脈瓣狹窄 老婦反覆肺水腫、雙腳腫脹難以行走

〔焦點時報/記者侯姵伃嘉義市報導〕一位90歲高齡婦人日前因反覆出現肺水腫及下肢水腫住院治療,雖然病情一度穩定後出院,但返家後仍持續感到走路喘、雙腳腫脹,甚至無法平躺入睡,只能長時間坐著休息,生活品質大受影響。為進一步釐清病因並尋求改善方式,家屬陪同前往衛生福利部嘉義醫院心臟內科門診就醫。

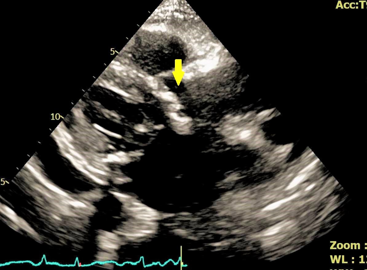
經心臟內科羅勖中醫師耐心詳盡的問診與檢查,發現該名婦人具有明顯心臟衰竭症狀,進一步安排心臟超音波檢查後,確診為「嚴重主動脈瓣膜狹窄」,屬於高齡族群常見且具高度風險的結構性心臟疾病;羅醫師指出,主動脈瓣膜狹窄會導致心臟無法有效將血液打出,進而引發肺水腫、呼吸困難、走路喘,嚴重時甚至可能導致休克。若未及時治療,重症患者一年內死亡率可高達五成。儘管患者年事已高,但羅醫師綜合評估其整體身體狀況、心臟衰竭嚴重程度後,認為其仍適合接受經導管主動脈瓣膜置換術(TAVR)。

由於羅醫師過去曾為台中榮民總醫院TAVR手術團隊一員,對相關術式與術前流程相當熟悉,能清楚向病患與家屬說明治療方式與風險,並迅速協助轉介至台中榮總心臟導管瓣膜手術團隊。完整評估後,病患順利接受TAVR手術,目前已平安出院返家休養,原本行走困難、呼吸費力的情況已有明顯改善。
羅勖中醫師提醒,主動脈瓣膜狹窄在疾病初期可能僅出現輕微喘或幾乎沒有症狀,但隨著年齡增長,病情可能迅速惡化,建議高齡長者如出現反覆肺水腫、呼吸困難、走路喘或夜間無法平躺等情形,應儘早就醫檢查,把握治療時機,才能提升生活品質與存活機會。

