聚餐太熱到外吹吹風納涼!40歲男下秒腦中風倒地
根據義大醫院神經外科主任陳睿生醫師的分享,本月以來,他已接診多名腦出血中風患者。其中一名約40歲的男子,擁有高血壓、高血脂和高血糖等三高症狀,且未能有效控制病情。當天與同事聚餐後,吃得滿身大汗,未圍圍巾或戴帽子,直接走出店外納涼,結果不久後便出現眼歪嘴斜、言語不清的情況,被同事緊急送往醫院。
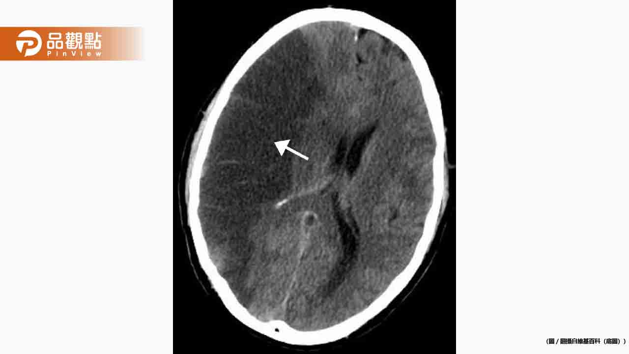
經過電腦斷層等檢查,男子被確診為腦幹中風,出血位置十分危險。為了控制病情,醫師將其收治於加護病房,並採用藥物治療,觀察是否需要進一步開刀取出血塊。
陳睿生醫師強調,在寒冷季節,許多人喜愛食用熱食或火鍋,導致身體升溫。然而從暖和的室內環境突然暴露於寒冷的戶外,特別是未做好保暖,可能會引發健康危機,尤其對於患有三高症狀或吸菸者而言,血管狀況較脆弱,頭頸部的保暖尤為重要。

